Akciğerde Sıvı Birikmesi: Nedir ve Nasıl Tedavi Edilir?
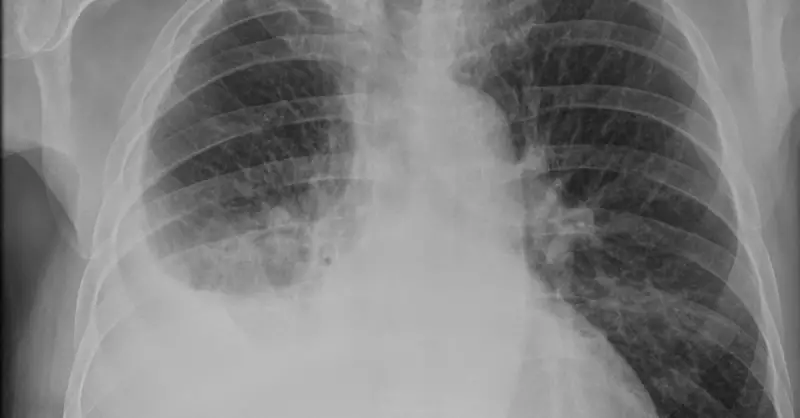
Tıp dilinde plevral efüzyon olarak adlandırılan akciğerde su toplanması, akciğer zarları arasında sıvı birikmesi sonucu ortaya çıkan ciddi bir sağlık sorunudur. Bu durum, nefes darlığı ve göğüs ağrısı gibi belirtilerle kendini göstererek hastaların yaşam kalitesini önemli ölçüde etkileyebilir.
Akciğerde Su Toplanması Tedavi Süresi Nasıl Belirlenir?
Akciğerde su toplanması tedavisinin süresi tamamen altta yatan nedene, tedavi yöntemlerinin başarısına ve hastanın genel sağlık durumuna bağlı olarak değişkenlik gösterir. Bazı vakalarda sıvı birikimi birkaç gün içinde azalabilirken, kronik hastalıklara bağlı durumlarda tedavi süreci haftalar hatta aylar sürebilir.
Tedavi planının belirlenmesinde ilk adım, sıvı birikimine neden olan temel faktörün teşhis edilmesidir. Kalp yetmezliği durumunda diüretik ilaçlar ve kalp tedavisi uygulanırken, akciğer enfeksiyonlarında antibiyotik tedavisi ön plana çıkar. Eğer sorun akciğer kanseri gibi tümör kaynaklı ise, tedavi planı onkolojik süreçleri içerebilir.
Akciğerde Sıvı Birikmesinin Başlıca Nedenleri
Akciğerlerde sıvı toplanmasına yol açan temel sebepler şunlardır:
- Kalp Yetmezliği: Kalbin yetersiz kan pompalaması sonucu damarlarda biriken sıvının akciğerlere sızması
- Akciğer Hastalıkları: Zatürre, akciğer embolisi ve akciğer kanseri gibi rahatsızlıklar
- Karaciğer ve Böbrek Hastalıkları: Vücuttaki sıvı dengesini bozan organ yetmezlikleri
Teşhis ve Tedavi Yöntemleri
Hastalığın teşhisinde göğüs röntgeni, bilgisayarlı tomografi ve ultrasonografi gibi görüntüleme yöntemleri kullanılır. Gerektiğinde, torasentez işlemiyle sıvı örneği alınarak laboratuvar analizi yapılır.
Tedavi seçenekleri arasında diüretik ilaçlar, antibiyotikler, tümör tedavileri ve sıvının fazla olduğu durumlarda parasentez (sıvı boşaltma) işlemi yer alır. Tedaviden olumlu sonuç alınması için altta yatan nedenin kontrol altına alınması şarttır.
Doğru teşhis ve zamanında müdahale ile akciğerdeki sıvı birikimi tamamen ortadan kalkabilir. Ancak tedavi sürecinin uzunluğu, hastanın bireysel durumuna ve altta yatan hastalığın ciddiyetine bağlı olarak değişir.



